ELEVATING AESTHETIC AND FUNCTIONAL RESTORATIONS

Bespoke Solutions for Exceptional Patient Outcomes

From custom porcelain veneers to durable Prettau Zirconia restorations, our services are designed for dental professionals who demand excellence. Whether it’s full-mouth rehabilitation, cutting-edge All-on-4 solutions,or composite veneers, we deliver lifelike results that elevate patient satisfaction and practice reputation.

Unparalleled Aesthetic Artistry

Superior Quality
& Precision

Comprehensive 360° Client Support

Expertise for Complex Cases

OUR PREMIUM SERVICES

Patient Photography

Restoring Nature’s Beauty with Precision

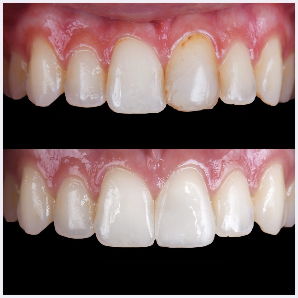
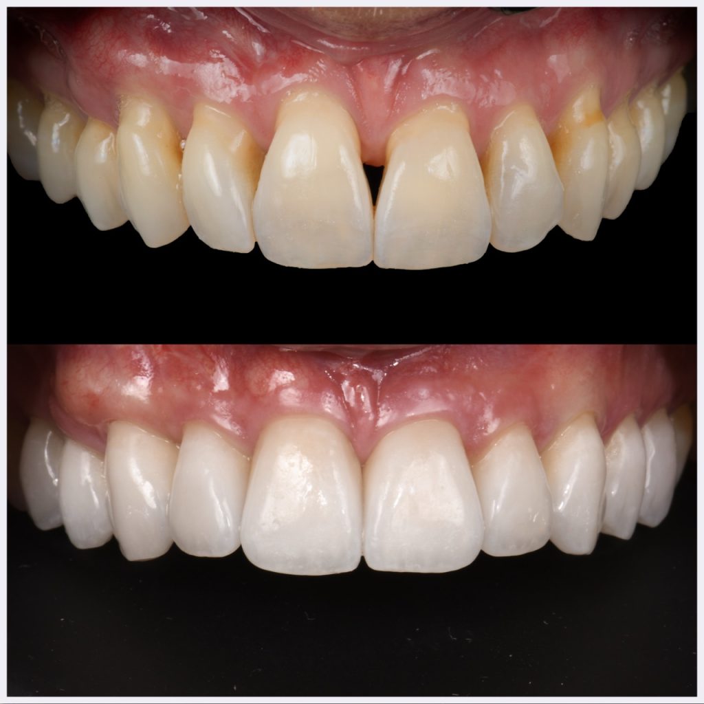
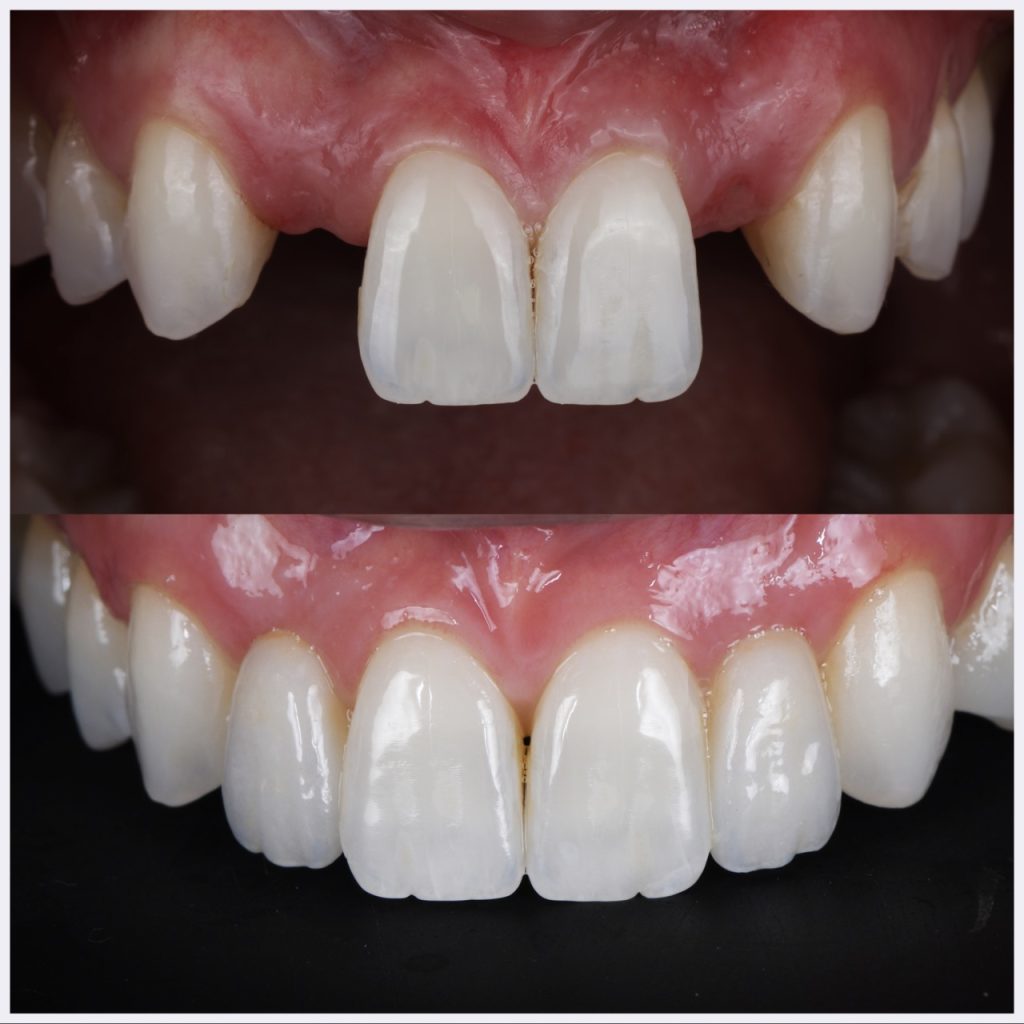
At Beverly Hills Dental Labs, nature inspires our esthetic dentistry. We specialize in reversing age-related dentition changes, helping patients regain the beauty and grace of their original smiles.

Each case begins with professional dental photography, guiding treatment planning with unparalleled accuracy. Using an advanced understanding of light, color, and form, we craft restorations that harmonize with the patient’s facial anatomy and personality, delivering balanced and natural-looking smiles.

Digital Smile Design

Facially Driven, Digitally Perfect

Transform your patient’s smile with precision and artistry. Using advanced patient photography and aesthetic treatment planning, Beverly Hills Dental Labs ensures seamless Digital Smile Design (DSD) for the most natural outcomes.

Digital Smile Design (DSD) takes cosmetic dentistry to the next level by combining advanced technology with artistry. At Beverly Hills Dental Labs, we use DSD to create smile makeovers that harmonize perfectly with each patient’s facial features, personality, and preferences.

This innovative approach offers:
– Realistic previews of final results.
– Improved communication between dentist, lab, and patient.
– Unparalleled precision in creating custom dental restorations.

Top Beverly Hills dentists rely on our expertise to craft natural, stunning results using DSD. Partner with us to deliver a truly transformative patient experience.

OUR PREMIUM PRODUCTS

CAD/CAM Provisionals

Our CAD/CAM provisionals are durable, lifelike, and precise. Through state-of-the-art five-axis machining, combined with masterful hand-sculpting by our expert technicians, we deliver provisional restorations with unparalleled fit and esthetics. Digital previews allow for collaborative treatment planning, reducing adjustments and ensuring patient satisfaction.

Feldspathic Veneers

Beverly Hills Dental Labs produces feldspathic veneers that are unmatched in quality and esthetics. Drawing on our expertise in light, form, and function, we deliver restorations that are both natural and luminous. Whether feldspathic or pressed ceramic, every veneer is custom-designed to suit your patient’s unique needs.

IPS E.max

Discover IPS e.max, a groundbreaking lithium disilicate ceramic that combines durability with lifelike translucency. Our team employs artisanal hand-waxing and pressing techniques to create restorations that fit flawlessly and shine beautifully—perfect for both full-contour and fully-layered options.

Lava Ultimate

For adhesive-bonded inlays and onlays, Lava Ultimate offers the ideal blend of strength, esthetics, and bio-compatibility. Using advanced design software and wet milling technology, we deliver restorations that are not only precise but also comfortable and durable.

Prettau Zirconia

Prettau Zirconia is the gold standard for biocompatible implant restorations. From screw-retained crowns to full-arch solutions, our expert technicians combine five-axis digital milling and hand-finishing techniques to deliver long-lasting, natural-looking results that resist chipping, staining, and breakage.

Guided Surgery Planning

With Nobel Clinician software, our guided surgery planning streamlines implant placement. Using CT scans and study casts, we develop customized surgical templates for fully-guided or pilot-guided implant insertion. This collaborative approach ensures precision and efficiency, enhancing treatment outcomes for your patients.

All-On-4

The All-On-4 concept offers edentulous patients a fixed full-arch prosthesis with just four strategically placed implants. This minimally invasive, cost-effective solution provides immediate functionality and esthetics. Our expert team uses advanced techniques and on-site manufacturing to deliver custom-designed titanium bars and implant restorations of exceptional quality.

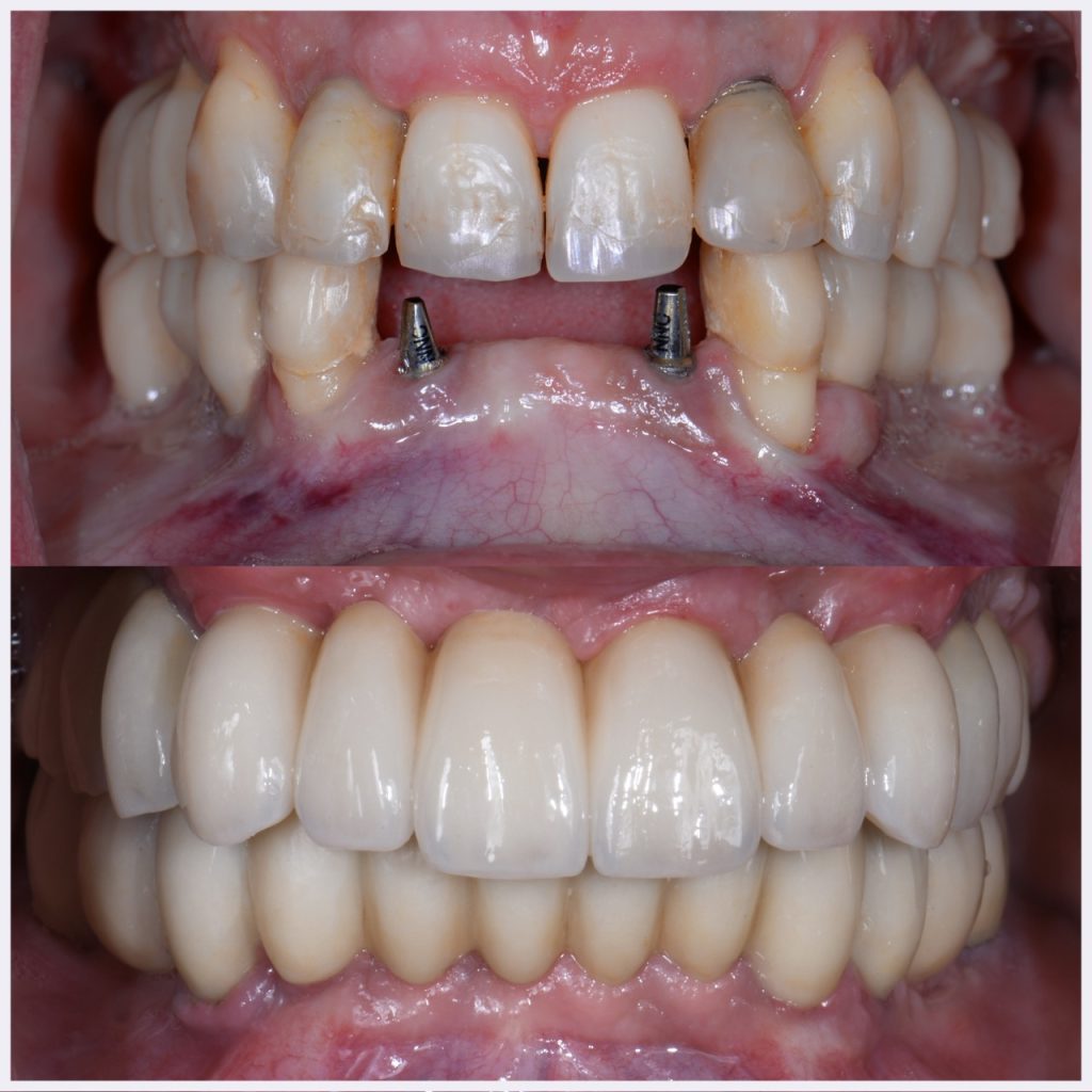
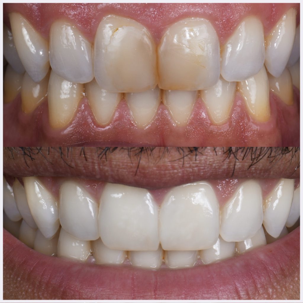
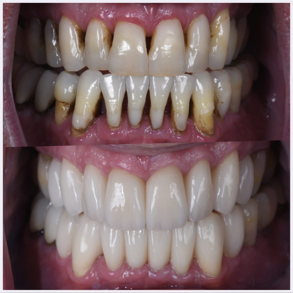
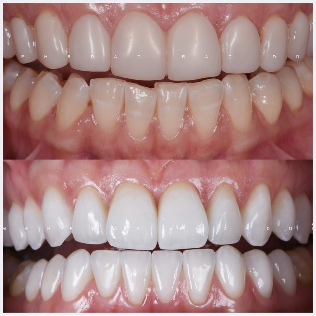
BEFORE / AFTER PHOTOS

Contact Us or Fill out the New Client Form.